Whatsapp العربي

If your oral health is not good, the remaining nutrients will accumulate on the gum line and form a layer of plaque that irritates the gums. This condition can lead to tooth loss if left untreated. Appropriate treatment for plaque formation in the early stages by scaling the teeth and root planing restores the healthy condition of the teeth and gums. Please get acquainted with this dental treatment and the benefits of dental scaling and root planing in Iran with Ariana Medicare Tour Services.

Why Iran?
Because you can get any procedure done in Iran at a price you won’t find anywhere else. Not only that, the proficiency of Iranian plastic surgeons is exceptional and the hospitals and clinics are up to the latest professional standards. Plus, Iran is a great country to visit. Ask any person who’ve been to the country.

Why Ariana Medicare Tour Services?
With Ariana Medicare Tour Services, you will be having your Dental Scaling and Root Planing and your trip will be arranged at the same time . All the hassles of traveling will be eliminated. As the leading medical tourism facilitator in Iran, we’ve so far helped hundreds of people get their plastic surgery done in Iran as smoothly as possible.

،،

Dental Scaling and Root Planing in iran: THE FACT you need to know

When dental hygiene is not adequate or effective, plaque forms on the tooth surface near the gum line and below it. Plaque is a thin layer of bacteria that sticks to the gum line of the tooth and irritates the gums. Plaque layers become harder by accumulating and becoming absorbed by salivary minerals into mass or mass. Plaque and plaque cause more inflammation and damage to the periodontal tissues, leading to the formation of gingival pockets that, if left untreated, can lead to bone and tooth loss.
Unless the disease is advanced, the method of scaling the teeth and root planing, also known as deep cleaning treatment or periodontal treatment, can reverse the condition and restore periodontal tissue health.

Gum infection treated with scaling and root planing (deep cleaning), laser bacterial reduction and ozone therapy. This is a non surgical procedure.

When should scaling and root planing be done?

SRP may be recommended when a periodontal evaluation or gum disease screening reveals evidence of gum infection and the early stages of bone loss in the jaw. To diagnose periodontal disease, our team will measure the spaces between the teeth and gums and take X-rays to evaluate the amount of bone surrounding the teeth. Though a thorough periodontal exam is needed in order to diagnose gum disease, there are a number of signs and symptoms that often indicate its presence, including:

How long does scaling and root planing take?

S caling and root planing is generally completed within 1 – 4 visits, depending on the extent of the condition. Iranian Dentist typically treat a quarter of the mouth at each visit, which allows them to thoroughly remove plaque and tartar deposits from beneath the gumline and clean out periodontal pockets as effectively as possible. Every SRP treatment at Premier Periodontics is scheduled according to individual needs to ensure the patients receive the personalized care and attention they deserve.

How is scaling and root planing effectiveness measured in iran?

During scaling and root planing procedures, the Iranian Dentist often uses an advanced technology known as perioscopy. This tool allows them to visualize the surfaces of the teeth through magnification and illumination. When perioscopy is utilized, scaling and root planing effectiveness can increase significantly.

After all areas of the mouth have been treated with SRP, Iranian Dentist will schedule a follow-up visit to evaluate treatment results. The goals of this nonsurgical gum disease treatment are to prevent further destruction of the jawbone, heal infected gum tissues (or active infection), and reduce the depths of periodontal pockets. Scaling and root planing is often deemed effective if these goals are met, and periodontal health is maintained. Periodic periodontal maintenance visits may be recommended to help minimize the risk of future flare-ups and keep the disease from progressing.

The Scaling And Root Planing Procedure in iran?

The aftercare will depend on the extend of the procedure. When you have your teeth professionally cleaned the dentist or hygienist will use a hand held instrument to scrape the hardened plaque off of the surface of your teeth. If they must proceed below the gum line it is often called deep cleaning. A local anesthetic will be used to neutralize any discomfort you will experience with your gums. Root planing goes deeper yet. The objective is to smooth the surface of the teeth and roots, remove the plaque, and make it difficult to immediately adhere to the enamel again.

What are the complications and risks of dental fillings?

One of the main side effects of an allergic reaction is anesthesia, as well as nerve and blood vessel damage, although it is rare and temporary. Sensitivity to cold and heat after tooth filling is very common and usually subsides within 2-4 weeks. Severe filling pain may occur in cases of dental pulp stimulation. In these cases, endodontic treatment will be necessary. Another complication is an allergic reaction to dental fillings. In such cases, removal of the filling is necessary to replace the filling material .
however In some cases, the reference pain may develop in nearby teeth and usually goes away after a few weeks. In a long treatment session, jaw filling pain may occur for several days.

Is Scale and Root Planing Painful?

Both the question and answer is relative to the pain threshold of the patient and the extent of the maple grove scaling and root planing necessary. The short answer is no, the procedure is not painful. You will experience discomfort upon completion but the actual process can be completed with the administration of a local anesthetic to the soft tissue to minimize any unpleasant feelings during the process.

Dental scaling and root planing recovery time and dental scaling tips: what to expect?

Generally, the recovery time is about a week. You may experience discomfort and bleeding in your gums for a few days, while sensitivity to cold and heat may last longer. You should choose a soft diet and avoid hard, spicy and acidic foods for a few days.

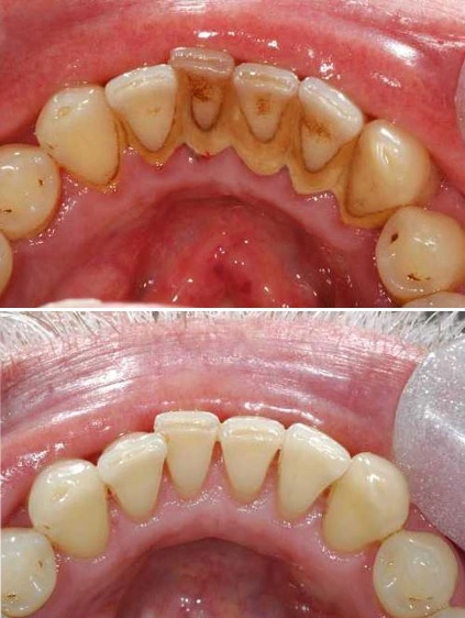
Before and after dental scaling and root planing.

Aftercare tips:

Here, we will review what you may experience after receiving scaling and root planing as well as how best to keep up your freshly cleaned teeth and gums!

Discomfort And Appearance
You may have some irritation and inflamation for a few days following your treatment. This is normal and should subside as you heal. If you feel that you need it, over the counter pain medication can be taken.
As the inflamation calms down, you will likely notice more spacing between your teeth. This is a good thing! It means that the plaque that was caught between them is gone and you are well on your way to a healthier smile!

Bleeding And Tooth Sensitivity
For two or three days, you will likely have some bleeding during brushing which should deminish with each brushing. Sensitivity could be a little intense, especially temperature sensitivity. Your dentist may give you a toothpaste specifically for sensitivity which should help. Depending on the severity of your case, you may also be prescribed an antibiotic mouthwash and it is important and beneficial to use it as directed
.

Minimizing Irritation:

For a few days following your treatment, avoid hard and crunchy foods. Your gums are tender and crunchy food grinding into them will not feel good. Stick to softer foods those few days while you heal.Your nutrition and dietary needs following oral surgery can depend on multiple factors including your health before the procedure, the procedure you are undergoing, oral function impact and expected recovery. A liquid or soft foods diet is commonly required for a few days or longer following oral surgery. It is recommended to choose nutrient-rich foods such as fruits, vegetables, dairy and protein. These types of foods provide vitamins and nutrients required for your mouth to heal.These types of procedures frequently require patients to stick to soft foods and avoid biting or chewing with the tooth or area for a period of time.
It is important to avoid the following foods for the first week following surgery as they can cause pain and delayed healing:

On the day of surgery, it is recommended to start with clear fluids (juices, broth, tea and Jell-O). As the recovery progresses, you can slowly introduce more substantial foods .

Oral Hygiene After Scaling And Root Planing

Your gum tissue is very likely to be tender so brushing with care is important. Being gentle but thorough will help you keep your teeth and gums healthy as they continue to heal from treatment. Using a warm salt water solution to rinse your mouth can feel nice and help reduce swelling. You can do this as often as you like for a couple of weeks. If you cannot manage salt water, ask your dentist for an antibacterial mouthwash if you were not already provided one.Following through with recommended scaling and root planing can greatly reduce your risk of further infection and stop gum recession which could lead to bone and tooth loss. Once you have had your deep cleaning, be sure to maintain your recommended recare schedule so you do not fall back into periodontal disease. You may be visiting your dentists three to four time per year instead of the typical two, but prevention is easier and less costly than treatment. Don’t let your efforts go unchecked!

To inquire about the customized package, kindly contact us via email, WhatsApp, telegram ,or online chat. The above packages are customizable to fit different budgets. In addition, the packages for other cosmetics or medical procedures will be arranged immediately upon request .

WhatsApp Contact Us